January 08, 2023
Your friends at Doering Family Dental want to wish you a Happy New Year!
We want to be your trusted source for life-changing dentistry to help make 2023 a great year for your smile.
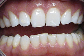
When you see the amazing transformations of our other happy patients, you can't help but feel inspired to imagine what your own smile journey would look like if you closed that gap between your front teeth, or removed dark, stubborn teeth stains with our power whitening system, or maybe even went all in for a complete makeover with custom veneers.
A beautiful new smile will give you the confidence to pursue all your goals for the new year, and the possibilities are endless! Call Doering Family Dental in Tampa, FL today at 813-590-6649 or schedule online.

