Smile Gallery

Make Better First Impressions

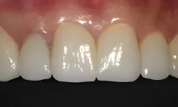
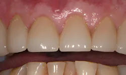
Browse Our Impressive Tampa Smile Gallery

The old adage says that a picture is worth a thousand words. Well, we have a lot of words to share in our Tampa smile gallery! Doering Family Dental has been helping our patients improve their smiles for decades. Here you will find just a few of our many satisfied patients.

We invite you to take a few moments browsing through these photos. You can also read some of our great patient testimonials as further proof of our dedication to excellent, comprehensive dentistry. We can't wait for you to become the next addition to our smile gallery!

Read Why Our Patients Love Us

Great visit and experience at Doering Dental. The staff was very professional and courteous. I'm a new patient, Doering Dental came highly recommended. Shannon my hygienist was great and Dr. Leal was professional and courteous and explained everything very well and easy to understand. The...

Great visit and experience at Doering Dental. The staff was very professional and courteous. I'm a new patient, Doering Dental came highly recommended. Shannon my hygienist was great and Dr. Leal was professional and courteous and explained everything very well and easy to understand. The office staff was welcoming and courteous. I highly recommend Doering Family Dental. I wish they would take my baby for Dental care. Carlos, Odessa


Carlos V.

Doering Family Dental runs a smooth, efficient office with a friendly and professional staff. From check-in to check-out, everything was straightforward and well-organized. Shannon was my hygienist and did an outstanding job. Her technique was precise, she explained everything clearly, and...

Doering Family Dental runs a smooth, efficient office with a friendly and professional staff. From check-in to check-out, everything was straightforward and well-organized. Shannon was my hygienist and did an outstanding job. Her technique was precise, she explained everything clearly, and she made the entire appointment comfortable. She's personable, sharp, and brings great energy to the room while maintaining a high level of professionalism. Dr. Doering has built a team that values both clinical excellence and genuine human connection. I'm impressed and grateful for the experience. I'll definitely be returning, and I recommend this office to anyone with teeth. 😁


Chris Howard

I had a broken molar and they got me in quickly for an exam. Even though the initial visit was just for an assessment, the doctor took pity on me and squeezed me into the schedule and fitted me for a temporary crown on the spot. I can't thank him enough. Several years ago he fitted me with...

I had a broken molar and they got me in quickly for an exam. Even though the initial visit was just for an assessment, the doctor took pity on me and squeezed me into the schedule and fitted me for a temporary crown on the spot. I can't thank him enough. Several years ago he fitted me with a different crown and it has also held up perfectly.


Stevegse Sgse

I enjoyed my visit to Dorian's family clinic, everybody was very professional, very helpful. And it's a beautiful place to be a dentist's office. It puts you at peace. It relaxes you. So I must say I would highly recommend Dorian's dental clinic. Thank you for your great hospitality and...

I enjoyed my visit to Dorian's family clinic, everybody was very professional, very helpful. And it's a beautiful place to be a dentist's office. It puts you at peace. It relaxes you. So I must say I would highly recommend Dorian's dental clinic. Thank you for your great hospitality and professionalism.


Linda Aikens

I been coming to Dr. Doering for a very long time, he is great, gently, professional and caring. Angie is the best, she does a great job to keep my teeth healthy. The front desk staff and the rest who I see rarely are welcoming, friendly and very helpful always! Thank you for all your services.

Dolores Beaver

Always an absolute pleasure going there. The office is exceptionally clean and welcoming and the staff is always so kind and helpful. Dr. Doering himself is a genuinely kind hearted individual and very professional and knowledgeable. I would without a doubt recommend his practice and if it...

Always an absolute pleasure going there. The office is exceptionally clean and welcoming and the staff is always so kind and helpful. Dr. Doering himself is a genuinely kind hearted individual and very professional and knowledgeable. I would without a doubt recommend his practice and if it were possible to give 10 stars I would.


Emily Sullivan

Great overall experience from the time you walk in the door until the time you pay your bill and exit. Knowledgeable dentist & staff keeping you informed every step of the way always making sure that you're comfortable throughout the entire process. Just had my wisdom tooth extracted and it...

Great overall experience from the time you walk in the door until the time you pay your bill and exit. Knowledgeable dentist & staff keeping you informed every step of the way always making sure that you're comfortable throughout the entire process. Just had my wisdom tooth extracted and it couldn't have gone better.


Bruce Peters, DO

Entire office and staff are friendly, helpful and very informative to my needs. The waiting room is relaxing. Exam rooms are clean and organized. Definitely my new go to for dental needs!

S A Perry

I had my first appointment with Dr Doering. He, Shannon the hygenist and rest of staff were very nice and extremely helpful. I will be returning to do more work soon and highly recommend Doering Family Dentistry for all your Dental care.

Kevin Paoletti

It was as great of an experience as having your teeth cleaned can be. Everyone is professional and friendly. I would recommend Dr.Doering's practice.

Lori Vartanian