April 24, 2023
Spring is a busy season of socializing and celebrating.
From sports and other outdoor physical activities to vacations to showers and weddings, it's a time to see and be seen!
Don't you want your smile to look its best?
Don't you want to be able to eat your favorite seasonal foods without pain or difficulty?
Then visit your Tampa, FL dentist to restore your smile!
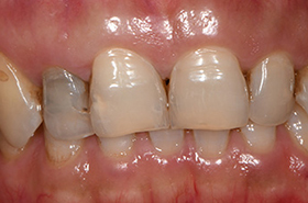
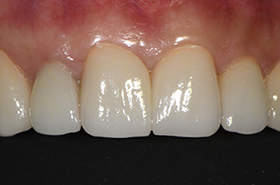
We offer tooth-colored fillings, lifelike dental crowns and bridges, and other natural-looking dental solutions for decayed, damaged, and missing teeth so you can enjoy this season, and many more, to the fullest!
Call Doering Family Dental in Tampa, FL today at 813-590-6649 or schedule online.

