August 26, 2024
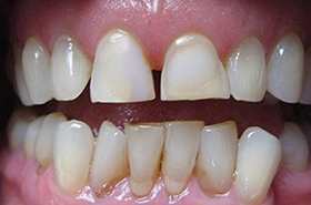
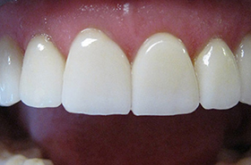
Restoring damaged teeth is crucial for maintaining both oral health and function.
Whether it's through fillings, crowns, or our other restorative treatments at Doering Family Dental, repairing your teeth helps prevent further damage and decay.
But it's not just about health—restoring your teeth also keeps your smile looking bright and beautiful.
A healthy smile boosts confidence and overall well-being, ensuring you can enjoy all aspects of life with a smile that looks as good as it feels.
So don't let damaged teeth get worse! Call Doering Family Dental today at 813-590-6649 for an appointment in Tampa, FL. You can also schedule online.

